Mulher tem perda de visão e é diagnosticada com câncer de pulmão
Aos 32 anos, sem histórico de fumo e com aparência totalmente saudável, uma mulher indiana foi diagnosticada com câncer de pulmão após apresentar perda de visão do olho direito e uma sensibilidade a luz no olho esquerdo. Ela procurou atendimento 20 dias após notar os sintomas, mesmo sem vermelhidão ao redor dos olhos ou ferimentos em outras partes do corpo.
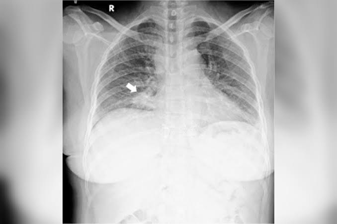
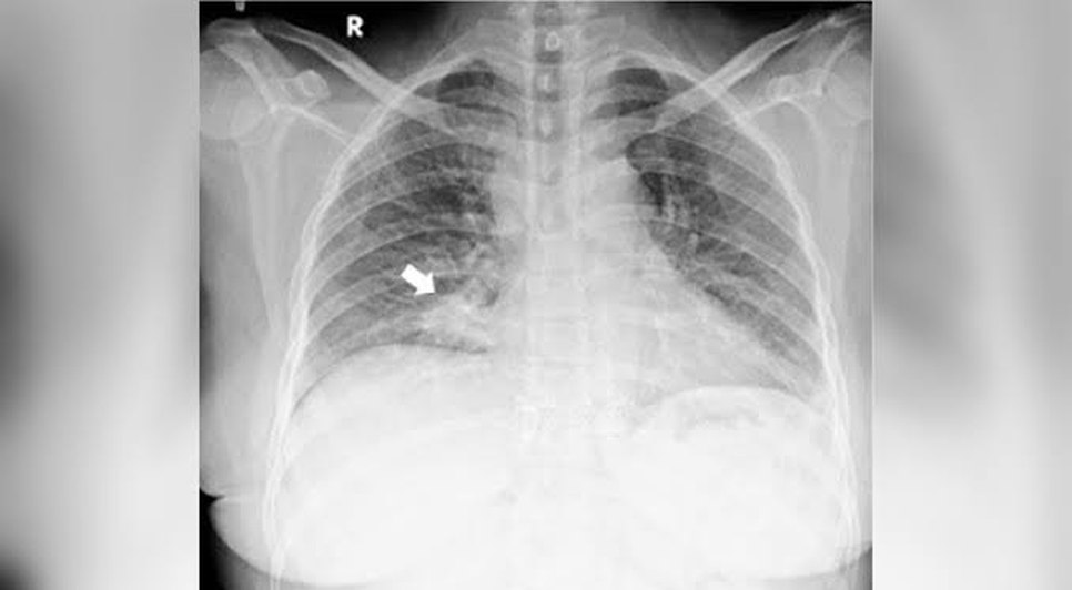
A partir da realização de exames, os médicos notaram uma grande lesão abaixo da retina do olho direito e a mesma lesão, só que menor, no olho esquerdo. Foi então que a equipe colocou a mulher para fazer uma radiografia, que encontrou o nódulo na zona inferior do pulmão direito.
A partir desses exames, outros foram feitos e mais tumores foram encontrados em outros órgãos. A mulher, que não teve seu nome revelado, foi diagnosticada com carcinoma de pulmão e com metástase de coróide (membrana que envolve o olho) em ambos os olhos.
Receba notícias em seu WhatsApp
Participe da nossa comunidade
