Encontrados: 12 resultados
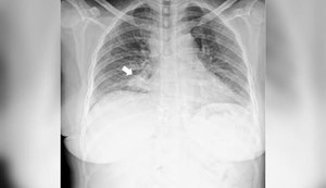
#Câncer
Mais Lidas
Brivaldo Marques e Eduardo Canuto retomam mandatos na Câmara de Maceió
Disputa por vaga no TCE-AL começa com três candidaturas; saiba quem se candidatou
CSA acerta contratação do centroavante Matheus Sacramento, ex-Santo André e Sergipe
Abordagem é registrada e câmera é alvo de ação de policiais durante ocorrência; veja
Escola que homenageou Lula, Acadêmicos de Niterói é rebaixada
